子どもの歯がグレーに変色した?歯の変色の原因と治療法を解説
2026/04/20
こんにちは。宇都宮市(雀宮、上三川町)のこうだい歯科です。
子どもの歯の変色にはさまざまな原因があり、単なる着色汚れであれば心配ありませんが、歯の内部で起きている問題のサインである可能性もあります。
今回は、子どもの歯がグレーに変色する原因と治療法について解説します。
歯の変色の種類
グレーや黒っぽい変色
グレーや黒っぽい変色は、歯の内部で問題が起きているサインの可能性があります。
特に一本だけが変色している場合や、徐々に色が濃くなっていく場合は注意が必要です。
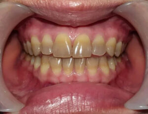
黄色やオレンジ色の変色
黄色やオレンジ色の変色は、エナメル質形成不全や着色の可能性があります。
全体的に黄色っぽい場合は、遺伝的な要因や形成期の問題が考えられます。
白い斑点やまだら模様
白く濁った部分や白い斑点が見られる場合、初期虫歯やエナメル質の石灰化不全、フッ素症などが原因として考えられます。
外傷による歯の変色
外傷後の変色の特徴
転倒や衝突で歯を強く打った後に、その歯がグレーや黒っぽく変色することがあります。
これは歯の内部の神経や血管が損傷し、神経が壊死することで起こります。
外傷直後は変化がなくても、数週間から数ヶ月後に徐々に変色してくることが特徴です。
変色以外の症状
外傷を受けた歯では、変色以外にもさまざまな症状が現れることがあります。
歯がぐらぐらする、痛みがある、歯ぐきが腫れている、歯が欠けているなどの症状が見られる場合は、早めに歯科医院を受診しましょう。
神経の壊死による変色
神経壊死の変色の特徴
外傷以外でも、深い虫歯や感染によって神経が死んでしまうと、歯は変色します。
神経への血液供給が途絶えることで、内側から灰色や黒っぽい色に変わっていきます。
放置した場合のリスク
神経が死んだ歯を放置すると、根の先に膿が溜まる根尖病巣を形成します。
痛みや腫れが出ることもあれば、無症状のまま病巣が大きくなることもあり、乳歯の場合には永久歯の発育に悪影響を及ぼす可能性があります。
また、感染が広がると、歯ぐきや顔が腫れたり、発熱したりすることもあります。
重症化すると入院治療が必要になることもあるため、早期の対応が重要です。
虫歯による歯の変色
初期虫歯の白濁
虫歯の初期段階では、歯の表面が白く濁って見えます。
これはエナメル質が脱灰し始めているサインです。
この段階であれば、日々のケアとフッ素塗布で再石灰化を促し、進行を止めることができます。
進行した虫歯の茶色や黒色
虫歯が進行すると、茶色や黒っぽく変色します。
この段階では削って詰める治療が必要になります。
神経まで達した虫歯
虫歯が深く進行して神経に達すると、神経が炎症を起こし、最終的には壊死します。
神経が死ぬと歯全体がグレーや黒っぽく変色していきます。
乳歯の虫歯の特徴
乳歯のエナメル質は永久歯よりも薄く、やわらかいため、虫歯の進行が早く、あっという間に神経まで達してしまうこともあります。
また、子どもは痛みをうまく伝えられないことも多く、発見が遅れがちです。
定期検診での早期発見が重要です。
薬剤による歯の変色
テトラサイクリン系抗生物質
テトラサイクリン系抗生物質を歯の形成期に服用すると、歯が黄色や灰色、茶色に変色することがあります。
現在は小児への使用が制限されていますが、過去に服用した方や、妊娠中の母親が服用した場合に影響が出ることがあります。
その他の薬剤
鉄剤などの一部の薬剤も、長期服用により歯に着色を起こすことがあります。
多くは表面的な着色で、歯科医院でのクリーニングで改善できます。
エナメル質形成不全
エナメル質形成不全とは、歯のエナメル質が正常に形成されず、部分的に薄くなったり、溝や穴ができたりする状態です。形成不全の部分は白く濁ったり、黄色や茶色に変色したりします。
表面がざらざらしていることもあり、虫歯になりやすい状態です。
原因と発症時期
エナメル質形成不全の原因はさまざまです。
遺伝的要因、妊娠中の母体の栄養不良や病気、出生時のトラブル、乳幼児期の高熱や感染症などが影響します。
歯科医院での治療法と対処法
経過観察
乳歯で症状がなく、生え変わりまでの期間が短い場合は、経過観察を選択することもあります。
定期的にレントゲンや視診で状態を確認し、問題が生じた時点で治療を開始します。
根管治療
神経が壊死している場合は、根管治療が必要です。
乳歯でも永久歯でも、根管内の壊死した組織を取り除き、清掃消毒して薬剤を充填します。
抜歯
乳歯で根の吸収が進んでいる場合や、治療が困難な場合、感染が広範囲に及んでいる場合などは、抜歯を選択することもあります。
抜歯後は永久歯の生えるスペースをつくるため、必要に応じて保隙装置を使用します。
かぶせ物や詰め物での修復
虫歯による変色の場合は、虫歯を削って詰め物やかぶせ物で修復します。
エナメル質形成不全がある歯も、必要に応じてかぶせ物で保護します。
変色した乳歯と永久歯への影響
乳歯の変色が永久歯に与える影響
乳歯が外傷や感染で変色している場合、その下で形成されている永久歯にも影響が及ぶ可能性があります。
例えば、乳歯の根尖病巣が大きくなると、永久歯のエナメル質形成に障害を起こしたり、永久歯の位置がずれたりすることがあります。
永久歯の形成異常
乳歯の感染が永久歯に影響すると、永久歯のエナメル質に白や茶色の斑点ができたり、歯の形が変形したりすることがあります。
生え変わりへの影響
乳歯の根尖病巣が大きい場合、乳歯の根の吸収が正常に進まず、生え変わりが遅れることがあります。
また、感染により根の吸収が早まって、通常より早く抜けてしまうこともあります。
予防と日常でのケア
外傷の予防
家の中の段差を減らす、走り回る時は周囲を確認する、スポーツをする際はマウスガードを使用するなど、転倒や衝突による外傷を防ぐことが変色予防の第一歩です。
万が一ぶつけた場合は、すぐに歯科医院を受診しましょう。
虫歯予防
毎日の丁寧な歯磨き、規則正しい食生活、定期的なフッ素塗布などで虫歯を予防することが大切です。
また、お子さんは自分では十分に磨けないため、保護者の方による仕上げ磨きも欠かせません。
定期検診の重要性
定期的な歯科検診を受けることで、変色の早期発見が可能になります。
半年に一度は歯科医院でチェックを受け、問題があれば早期に対処しましょう。
まとめ
子どもの歯のグレーや黒っぽい変色は、外傷による神経の損傷、虫歯の進行、神経の壊死、薬剤の影響、エナメル質形成不全など、さまざまな原因で起こります。
変色を放置すると、根の先に膿が溜まったり、永久歯の発育に影響したり、感染が広がったりする危険性があります。
痛みがないからといって安心せず、変色に気づいたら早めに歯科医院を受診することが重要です。

